Welcome to Sabbiotech!     
Email:info@signalwayantibody.com
Location: Home > Polyclonal Antibodies > SMAD7 Antibody

SMAD7 Antibody#37036

Availability: Yes
Total Amount:$
Product Detail

Product NameSMAD7 Antibody

Host SpeciesRabbit

ClonalityPolyclonal

Purificationaffinity purified by Protein A

ApplicationsWB;ICC/IF;IHC ;FC

Species ReactivityHu Ms Rt

SpecificityThe antibody detects endogenous levels of total SMAD7 protein.

Immunogen TypePeptide

Immunogen DescKLH conjugated synthetic peptide derived from human Smad7

Target NameSMAD7

ConjugateUnconjugated

Other NamesCRCS3; MADH7; MADH8

Accession NoSwiss-Prot#: O15105
NCBI Gene ID: 4092
Gene Accssion: NP_005895

Uniprot O15105

Gene ID 4092;

Sdspage MW46kd

Concentration1mg/ml

Formulation0.01M TBS (pH7.4) with 1% BSA, 0.02% Proclin300 and 50% Glycerol.

StorageShipped at 4℃. Store at -20℃ for one year. Avoid repeated freeze/thaw cycles.

Application Details
WB 1:500-1:2000;
IHC 1:100-1:500;
ICC/IF 1:100-1:500;
FC:1ug/Test
Lane 1: Cerebrum (Mouse) Lysate at 40 ug;
Lane 2: Cerebrum (Rat) Lysate at 40 ug;
Lane 3: Stomach (Mouse) Lysate at 40 ug;
Lane 4: Lung (Mouse) Lysate at 40 ug;
Lane 5: Kidney (Mouse) Lysate at 40 ug;
Primary: SMAD7 Antibody at 1/1000 dilution;
Secondary: Goat Anti-Rabbit IgG at 1/20000 dilution
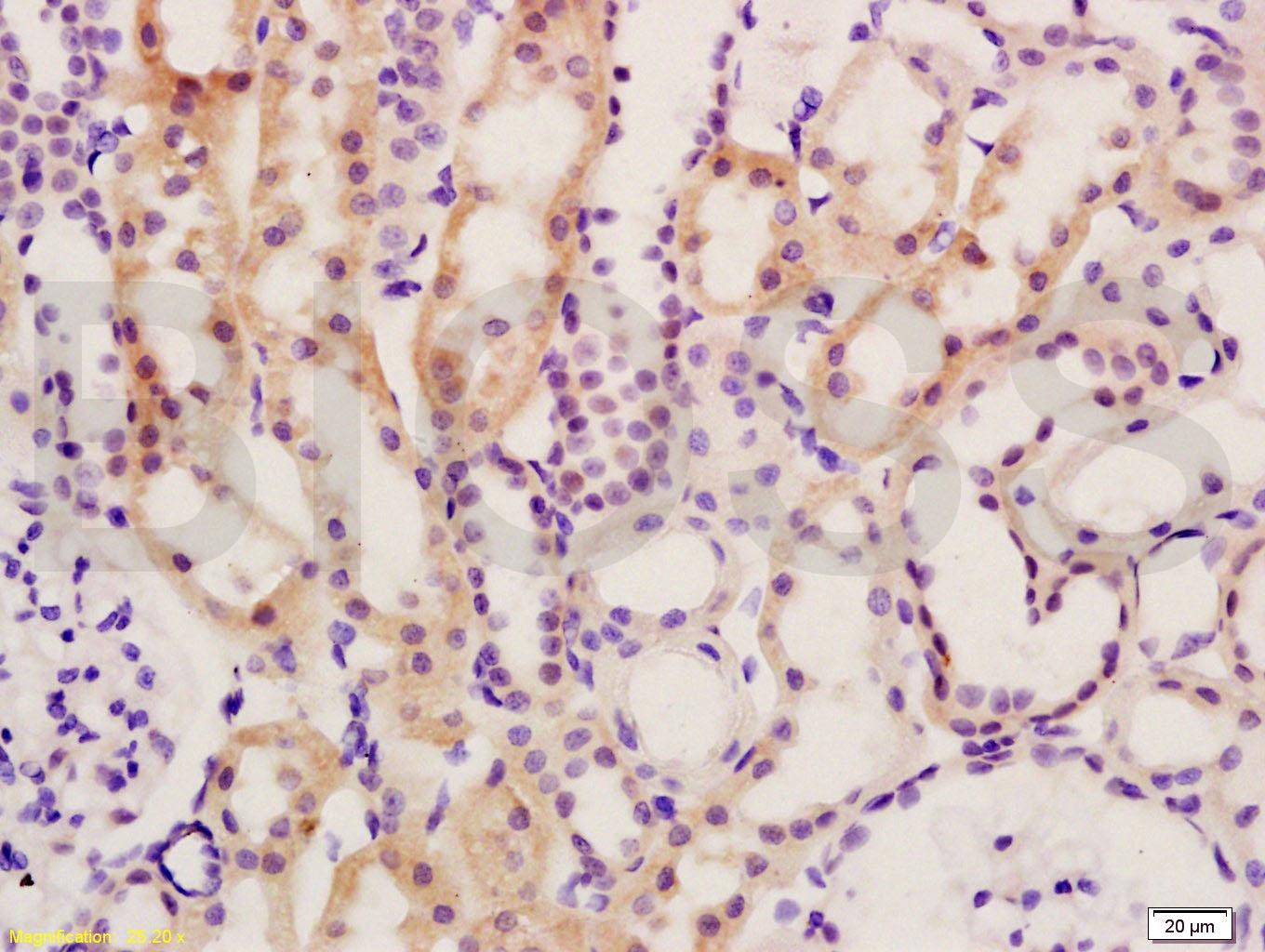
rat kidney tissue; 4% Paraformaldehyde-fixed and paraffin-embedded;SMAD7 Antibody at 1:200.
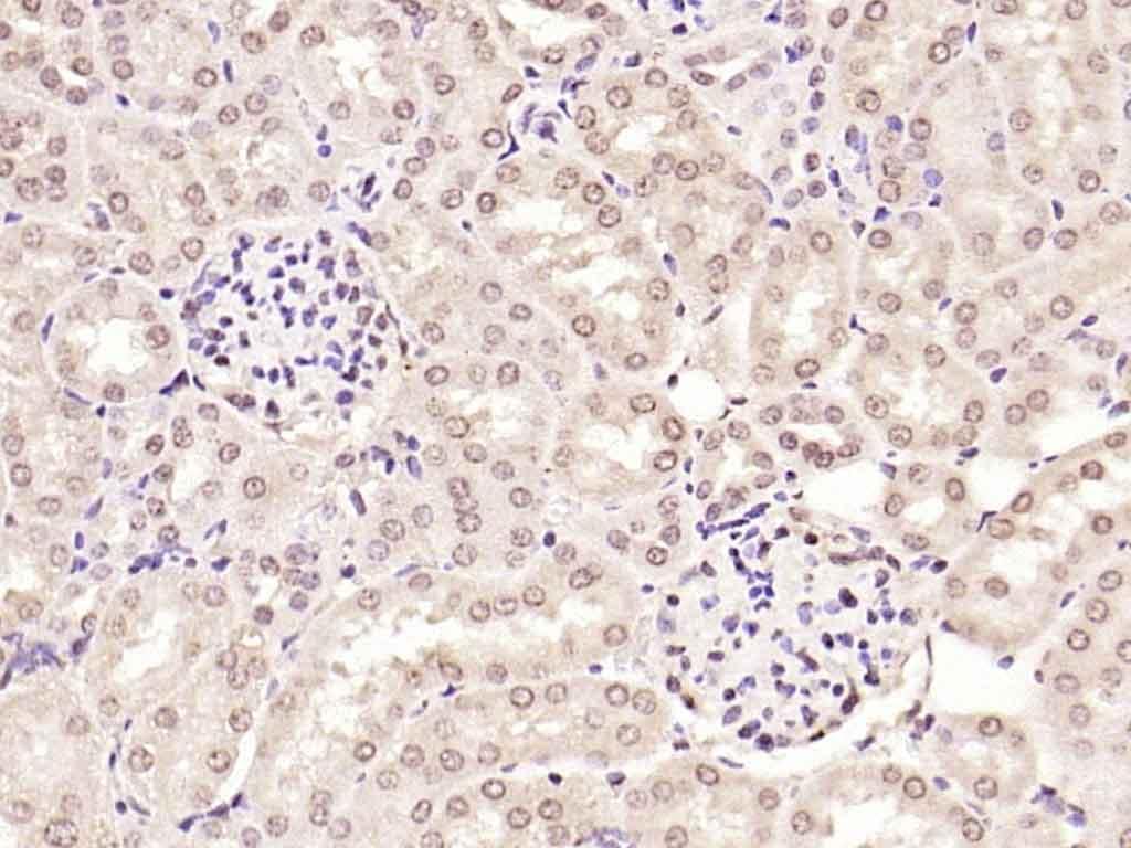
Paraformaldehyde-fixed, paraffin embedded (mouse kidney);SMAD7 Antibody at 1:200.
Blank control: SH-SY5Y. Primary Antibody (green line): SMAD7 Antibody Dilution: 1ug /10^6 cells; Isotype Control Antibody (orange line): Rabbit IgG . Secondary Antibody : Goat anti-rabbit IgG-AF647 Dilution: 1ug /test.
U-2OS cell; 4% Paraformaldehyde-fixed; Triton X-100 at room temperature for 20 min; Blocking buffer (normal goat serum) at 37°C for 20 min; Antibody incubation with SMAD7 Antibody.
The protein encoded by this gene is a nuclear protein that binds the E3 ubiquitin ligase SMURF2. Upon binding, this complex translocates to the cytoplasm, where it interacts with TGF-beta receptor type-1 (TGFBR1), leading to the degradation of both the encoded protein and TGFBR1. Expression of this gene is induced by TGFBR1. Variations in this gene are a cause of susceptibility to colorectal cancer type 3 (CRCS3). Several transcript variants encoding different isoforms have been found for this gene.

If you have published an article using product 37036, please notify us so that we can cite your literature.

et al,TGF β1 mediated Smad signaling pathway and EMT in hepatic fibrosis induced by Nano NiO in vivo and in vitro.In Environ Toxicol on 2020 Apr by Zhang Q, Chang X ,et al..PMID: 31737983 , (2020),
PMID: 31737983
et al,ADAMTS13 attenuates renal fibrosis by suppressing thrombospondin 1 mediated TGF-β1/Smad3 activation. , (2025),
PMID: 39929281

NOTE

Application

  • WBWestern Blotting
  • IHCImmunohistochemistry
  • IFImmunofluorescence
  • ICCImmunocytochemistry
  • FCFlow Cytometry
  • IPImmunoprecipitation
  • EELISA
  • DBDot Blotting
  • ChIPChromatin Immunoprecipitation
  • GICAGold Immunochromatography Assay
  • NCNegative Control

Species Reactivity

  • HuHuman
  • MsMouse
  • RtRat
  • DmDrosophila melanogaster
  • CCaenorhabditis elegans
  • MkMonkey
  • RbRabbit
  • BBovine
  • DDog
  • PPig
  • HmHamster
  • ChHmChinese Hamster
  • ChkChicken
  • ShpSheep
;