Welcome to Sabbiotech!     
Email:info@signalwayantibody.com
Location: Home > Polyclonal Antibodies > SLC8A1 Antibody

SLC8A1 Antibody#43934

Availability: The lead time is currently 1 week.
Total Amount:$
Product Detail

Product NameSLC8A1 Antibody

Host SpeciesRabbit

ClonalityPolyclonal

PurificationAntigen affinity purification

ApplicationsIHC

Species ReactivityHu Ms Rt

SpecificityThe antibody detects endogenous levels of total SLC8A1 protein.

Immunogen Typepeptide

Immunogen DescSynthetic peptide of human SLC8A1

Target NameSLC8A1

ConjugateUnconjugated

Other NamesNCX1

Accession NoSwiss-Prot#: P32418
NCBI Gene ID: 6546

Uniprot P32418

Gene ID 6546;

Concentration1mg/ml

FormulationRabbit IgG in pH7.4 PBS, 0.05% NaN3, 40% Glycerol.

StorageStore at -20˚C

Application Details

Immunohistochemistry: 1: 20-100
The image on the left is immunohistochemistry of paraffin-embedded Human brain tissue using SLC8A1 Antibody at dilution 1/25, on the right is treated with synthetic peptide. (Original magnification: x200)
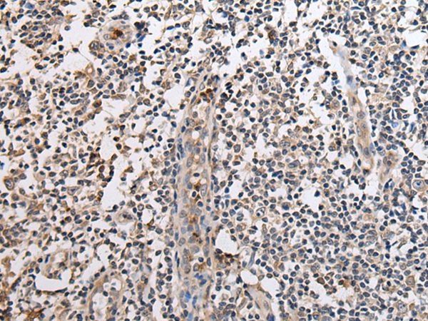
The image on the left is immunohistochemistry of paraffin-embedded Human tonsil tissue using SLC8A1 Antibody at dilution 1/25, on the right is treated with synthetic peptide. (Original magnification: x200)
In cardiac myocytes, Ca(2+) concentrations alternate between high levels during contraction and low levels during relaxation. The increase in Ca(2+) concentration during contraction is primarily due to release of Ca(2+) from intracellular stores. However, some Ca(2+) also enters the cell through the sarcolemma (plasma membrane). During relaxation, Ca(2+) is sequestered within the intracellular stores. To prevent overloading of intracellular stores, the Ca(2+) that entered across the sarcolemma must be extruded from the cell. The Na(+)-Ca(2+) exchanger is the primary mechanism by which the Ca(2+) is extruded from the cell during relaxation. In the heart, the exchanger may play a key role in digitalis action. The exchanger is the dominant mechanism in returning the cardiac myocyte to its resting state following excitation.

If you have published an article using product 43934, please notify us so that we can cite your literature.

et al,Identification and study of mood-related biomarkers and potential molecular mechanisms in type 2 diabetes mellitus. , (2025),
PMID: 39915429

NOTE

Application

  • WBWestern Blotting
  • IHCImmunohistochemistry
  • IFImmunofluorescence
  • ICCImmunocytochemistry
  • FCFlow Cytometry
  • IPImmunoprecipitation
  • EELISA
  • DBDot Blotting
  • ChIPChromatin Immunoprecipitation
  • GICAGold Immunochromatography Assay
  • NCNegative Control

Species Reactivity

  • HuHuman
  • MsMouse
  • RtRat
  • DmDrosophila melanogaster
  • CCaenorhabditis elegans
  • MkMonkey
  • RbRabbit
  • BBovine
  • DDog
  • PPig
  • HmHamster
  • ChHmChinese Hamster
  • ChkChicken
  • ShpSheep
;