Welcome to Sabbiotech!     
Email:info@signalwayantibody.com
Location: Home > Polyclonal Antibodies > TERT Rabbit Polyclonal Antibody

TERT Rabbit Polyclonal Antibody#54247

Availability: Yes
Total Amount:$
Product Detail

Product NameTERT Rabbit Polyclonal Antibody

Host SpeciesRabbit

ClonalityPolyclonal

IsotypeIgG

PurificationAffinity purification

ApplicationsWB,IHC

Species ReactivityHuman,Mouse

Immunogen DescA synthetic peptide of human TERT (NP_937983.2).

ConjugateUnconjugated

Other NamesTERT;CMM9;DKCA2;DKCB4;EST2;PFBMFT1;TCS1;TP2;TRT;hEST2;hTRT

Accession NoSwiss Prot:O14746
GeneID:7015

Uniprot O14746

Calculated MW88kDa/90kDa/120kDa/126kDa

FormulationBuffer: PBS with 0.02% sodium azide,50% glycerol,pH7.3.

StorageStore at -20˚C. Avoid freeze / thaw cycles.

Application Details
WB 1:2000 - 1:5000
IHC 1:50 - 1:200
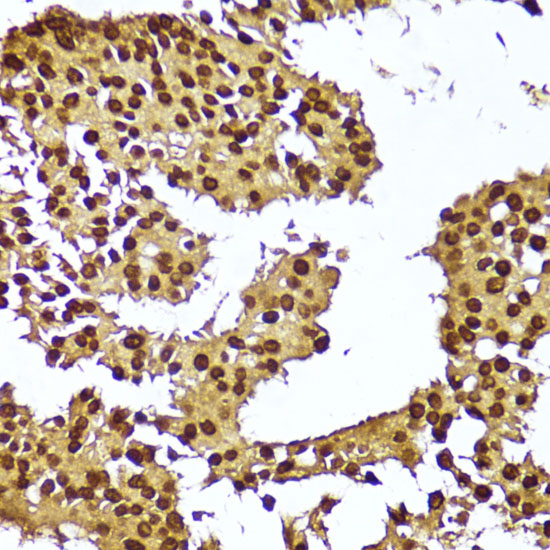
Immunohistochemistry of paraffin-embedded human breast cancer using TERT at dilution of 1:100 (40x lens).
Telomerase is a ribonucleoprotein polymerase that maintains telomere ends by addition of the telomere repeat TTAGGG. The enzyme consists of a protein component with reverse transcriptase activity, encoded by this gene, and an RNA component which serves as a template for the telomere repeat. Telomerase expression plays a role in cellular senescence, as it is normally repressed in postnatal somatic cells resulting in progressive shortening of telomeres. Deregulation of telomerase expression in somatic cells may be involved in oncogenesis. Studies in mouse suggest that telomerase also participates in chromosomal repair, since de novo synthesis of telomere repeats may occur at double-stranded breaks. Alternatively spliced variants encoding different isoforms of telomerase reverse transcriptase have been identified; the full-length sequence of some variants has not been determined. Alternative splicing at this locus is thought to be one mechanism of regulation of telomerase activity.

If you have published an article using product 54247, please notify us so that we can cite your literature.

et al,CENPF (+) cancer cells promote malignant progression of early-stage TP53 mutant lung adenocarcinoma. , (2025),
PMID: 40044674

NOTE

Application

  • WBWestern Blotting
  • IHCImmunohistochemistry
  • IFImmunofluorescence
  • ICCImmunocytochemistry
  • FCFlow Cytometry
  • IPImmunoprecipitation
  • EELISA
  • DBDot Blotting
  • ChIPChromatin Immunoprecipitation
  • GICAGold Immunochromatography Assay
  • NCNegative Control

Species Reactivity

  • HuHuman
  • MsMouse
  • RtRat
  • DmDrosophila melanogaster
  • CCaenorhabditis elegans
  • MkMonkey
  • RbRabbit
  • BBovine
  • DDog
  • PPig
  • HmHamster
  • ChHmChinese Hamster
  • ChkChicken
  • ShpSheep
;