Goods Brief:Recombinant Rabbit Monoclonal
Applications:WB IHC
Species Reactivity:Human
>
KD/KO Validation
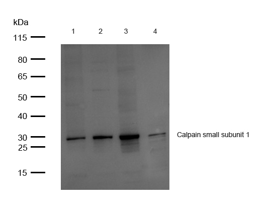
Goods Brief:Recombinant Rabbit Monoclonal
Applications:WB IHC
Species Reactivity:Human
Goods Brief:Recombinant Rabbit Monoclonal
Applications:WB IP FC
Species Reactivity:Human Mouse Rat
Goods Brief:Recombinant Rabbit Monoclonal
Applications:WB ICC/IF IP FC
Species Reactivity:Human Mouse Rat
Goods Brief:Recombinant Rabbit Monoclonal
Applications:WB IHC ICC FC
Species Reactivity:Human Mouse Rat
Goods Brief:Recombinant Rabbit Monoclonal
Applications:WB IHC FC
Species Reactivity:Human Rat
Goods Brief:Recombinant Rabbit Monoclonal
Applications:WB IHC
Species Reactivity:Human
Goods Brief:Recombinant Rabbit Monoclonal
Applications:WB ICC/IF FC
Species Reactivity:Human Rat
Goods Brief:Recombinant Rabbit Monoclonal
Applications:WB IHC ICC/IF IP FC
Species Reactivity:Human
Goods Brief:Recombinant Rabbit Monoclonal
Applications:WB IHC ICC/IF
Species Reactivity:Human
Goods Brief:Recombinant Rabbit Monoclonal
Applications:WB
Species Reactivity:Human;Mouse;Rat