Location: 
                    Home 
            >
                     Phospho Antibodies >                     Histone H2A.X(Phospho-Ser139) Rabbit mAb
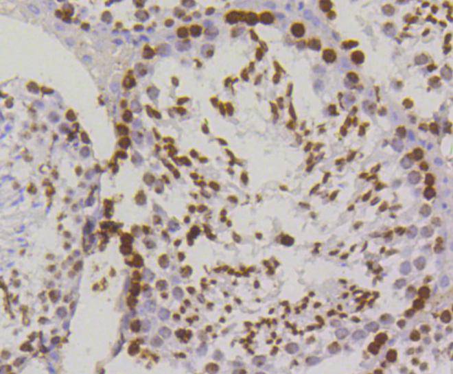
            Histone H2A.X(Phospho-Ser139) Rabbit mAb#13343
NOTE
Application
- WBWestern Blotting
 - IHCImmunohistochemistry
 - IFImmunofluorescence
 - ICCImmunocytochemistry
 - FCFlow Cytometry
 - IPImmunoprecipitation
 - EELISA
 - DBDot Blotting
 - ChIPChromatin Immunoprecipitation
 - GICAGold Immunochromatography Assay
 - NCNegative Control
 
Species Reactivity
- HuHuman
 - MsMouse
 - RtRat
 - DmDrosophila melanogaster
 - CCaenorhabditis elegans
 - MkMonkey
 - RbRabbit
 - BBovine
 - DDog
 - PPig
 - HmHamster
 - ChHmChinese Hamster
 - ChkChicken
 - ShpSheep
 







 Yes



