Welcome to Sabbiotech!     
Email:info@signalwayantibody.com
Location: Home > Phospho Antibodies > GSK3(alpha/beta)(Phospho-Y216/Y279) Rabbit mAb

GSK3(alpha/beta)(Phospho-Y216/Y279) Rabbit mAb#13355

Availability: Yes
Total Amount:$
Product Detail

Product NameGSK3(alpha/beta)(Phospho-Y216/Y279) Rabbit mAb

Clone No.SY26-05

Host SpeciesRabbit

ClonalityMonoclonal

PurificationProA affinity purified

ApplicationsWB;ICC/IF;IHC

Species ReactivityHu, Ms, Rt

Immunogen DescSynthetic phospho-peptide corresponding to residues surrounding Tyr216 and 279 of human GSK3(alpha+beta).

ConjugateUnconjugated

Other NamesFactor A antibody
Glycogen synthase kinase 3 alpha antibody
Glycogen synthase kinase 3 beta antibody
GSK3 alpha antibody
GSK3 beta antibody
GSK3B antibody

Accession NoSwiss-Prot#:P49840

Uniprot P49840

Gene ID 2931;

Calculated MWPredicted band size: 47,51 kDa

Sdspage MWObserved band size: 47,51 kDa

Formulation1*TBS (pH7.4), 1%BSA, 40%Glycerol. Preservative: 0.05% Sodium Azide.

StorageStore at -20˚C

Application Details
WB: 1:500-1:2000
ICC/IF: 1:50-1:200
IHC: 1:50-1:200
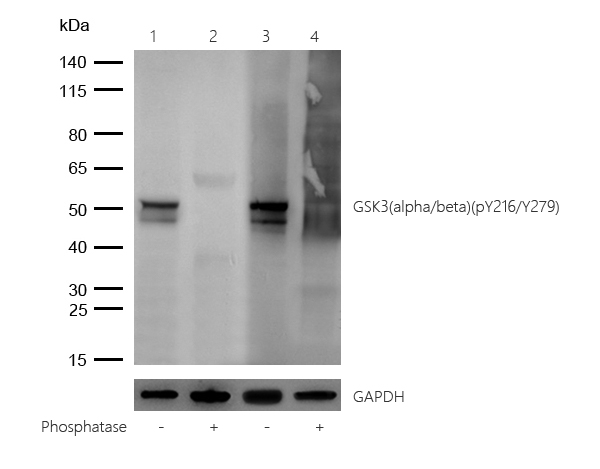
All lanes : GSK3(alpha/beta)(Phospho-Y216/Y279) Rabbit mAb at 1/1k dilution
Lane 1 : 293T whole cell lysates
Lane 2 : 293T treated with Lambda Protein Phosphatase for 30min whole cell
Lane 3 : MCF7 whole cell lysates
Lane 4 : MCF7 treated with Lambda Protein Phosphatase for 30min whole cell
Lysates/proteins at 20 µg per lane.
Secondary
All lanes : Goat Anti-Rabbit IgG H&L (HRP) at 1/20000 dilution
Predicted band size: 47,51 kDa
Observed band size: 47,51 kDa

Exposure time: 7 seconds
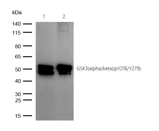
All lanes : GSK3(alpha/beta)(Phospho-Y216/Y279) Rabbit mAb at 1/1k dilution
Lane 1 : Mouse Brain lysates
Lane 2 : Rat Brain lysates
Lysates/proteins at 20 µg per lane.
Secondary
All lanes : Goat Anti-Rabbit IgG H&L (HRP) at 1/20000 dilution
Predicted band size: 47,51 kDa
Observed band size: 47,51 kDa

Exposure time: 6 seconds
Formalin-fixed, paraffin-embedded rat brain tissue stained for GSK3(alpha/beta)(Phospho-Y216/Y279) using 13355 at 1/100 dilution in immunohistochemical analysis.
Formalin-fixed, paraffin-embedded human breast carcinoma tissue stained for GSK3(alpha/beta)(Phospho-Y216/Y279) using 13355 at 1/100 dilution in immunohistochemical analysis.
Formalin-fixed, paraffin-embedded mouse brain tissue stained for GSK3(alpha/beta)(Phospho-Y216/Y279) using 13355 at 1/100 dilution in immunohistochemical analysis.
Immunocytochemistry/ Immunofluorescence GSK3(alpha/beta)antibody(Phospho-Y216/Y279) antibody (13355)

ICC/IF staining of GSK3(alpha/beta)antibody(Phospho-Y216/Y279) in Hela cells. Cells were fixed with 4% Paraformaldehyde permeabilized with 0.1% Triton X-100.
Samples were incubated with 13355 at a working dilution of 1/100. The secondary antibody was Alexa Fluor® 488 goat anti rabbit, used at a dilution of 1/500.
Nuclei were counterstained with DAPI.
Glycogen synthase kinase-3α (GSK-3α) and GSK-3β are highly similar isoforms of serine/ threonine kinases that regulate metabolic enzymes and transcription factors, which are responsible for coordinating processes such as glycogen synthesis and cell adhesion. GSK-3β activity is also required for nuclear activity of Rel dimers, which mediate an anti-apoptotic response to TNFα in mice. GSK-3 catalytic kinase activity is controlled through differential phosphorylation of serine/threonine residues, which have an inhibitory effect, and tyrosine residues, which have an activating effect. Growth factor stimulation of mammalian cells expressing GSK-3α and GSK-3β induces phosphorylation of Ser 21 and Ser 9, respectively, through a phosphatidylinositol 3-kinase (PI 3-K)-protein kinase B (PKB)-dependent pathway, thereby enhancing proliferative signals. Additionally, GSK-3 physically associates with cAMP-dependent protein kinase A (PKA), which phosphorylates Ser 21 of GSK-3α or Ser 9 of GSK-3β and inactivates both forms. GSK-3α/β is positively regulated by phosphorylation on Tyr 279 and Tyr 216, respectively. Activated GSK-3α/β participates in energy metabolism, neuronal cell development, and body pattern formation. Tyrosine dephosphorylation of GSK-3 is involved in its extracellular signal-dependent inactivation.

If you have published an article using product 13355, please notify us so that we can cite your literature.

et al,Grass carp (Ctenopharyngodon idellus) SHP2 suppresses IFN I expression via decreasing the phosphorylation of GSK3 beta in a non-contact manner , (2021),
PMID: 34265416

NOTE

Application

  • WBWestern Blotting
  • IHCImmunohistochemistry
  • IFImmunofluorescence
  • ICCImmunocytochemistry
  • FCFlow Cytometry
  • IPImmunoprecipitation
  • EELISA
  • DBDot Blotting
  • ChIPChromatin Immunoprecipitation
  • GICAGold Immunochromatography Assay
  • NCNegative Control

Species Reactivity

  • HuHuman
  • MsMouse
  • RtRat
  • DmDrosophila melanogaster
  • CCaenorhabditis elegans
  • MkMonkey
  • RbRabbit
  • BBovine
  • DDog
  • PPig
  • HmHamster
  • ChHmChinese Hamster
  • ChkChicken
  • ShpSheep
;