Welcome to Sabbiotech!     
Email:info@signalwayantibody.com
Location: Home > Phospho Antibodies > JNK1/2/3(Phospho-T183/T183/T221) Rabbit mAb

JNK1/2/3(Phospho-T183/T183/T221) Rabbit mAb#13371

Availability: Yes
Total Amount:$
Product Detail

Product NameJNK1/2/3(Phospho-T183/T183/T221) Rabbit mAb

Clone No.ST500

Host SpeciesRabbit

ClonalityMonoclonal

PurificationProA affinity purified

ApplicationsWB, ICC/IF, IHC

Species ReactivityHu, Ms, Rt

Immunogen DescSynthetic phospho-peptide corresponding to residues surrounding Thr183 + Thr183 + Thr221 of human JNK1/2/3

ConjugateUnconjugated

Other NamesC Jun kinase 2 antibody
c Jun N terminal kinase 1 antibody
c Jun N terminal kinase 2 antibody
c Jun N terminal kinase 3 antibody
c-Jun N-terminal kinase 1 antibody
JNK 46 antibody
JNK 55 antibody
JNK antibody
JNK-46 antibody
JNK1 antibody
JNK1A2 antibody
JNK2 antibody
JNK21B1/2 antibody
JNK2A antibody
JNK2ALPHA antibody
JNK2B antibody
JNK2BETA antibody
JNK3 alpha protein kinase antibody
JNK3 antibody
JNK3A antibody
Jun kinase antibody
JUN N terminal kinase antibody
MAP kinase 10 antibody
MAP kinase 8 antibody
MAP kinase 9 antibody
MAP kinase p49 3F12 antibody
MAPK 10 antibody
MAPK 8 antibody
MAPK 9 antibody
MAPK10 antibody
mapk8 antibody
MAPK9 antibody
Mitogen activated protein kinase 10 antibody
Mitogen activated protein kinase 8 antibody
Mitogen activated protein kinase 8 isoform JNK1 alpha1 antibody
Mitogen activated protein kinase 8 isoform JNK1 beta2 antibody
Mitogen activated protein kinase 9 antibody
Mitogen-activated protein kinase 8 antibody
MK08_HUMAN antibody
p493F12 antibody
p54a antibody
p54aSAPK antibody
p54bSAPK antibody
PRKM10 antibody
PRKM8 antibody
PRKM9 antibody
SAPK antibody
SAPK(beta) antibody
SAPK1 antibody
SAPK1a antibody
SAPK1b antibody
SAPK1c antibody
Stress activated protein kinase 1 antibody
Stress activated protein kinase 1a antibody
Stress activated protein kinase 1b antibody
Stress activated protein kinase 1c antibody
Stress activated protein kinase beta antibody
Stress activated protein kinase JNK1 antibody
Stress activated protein kinase JNK2 antibody
Stress activated protein kinase JNK3 antibody
Stress-activated protein kinase 1c antibody
Stress-activated protein kinase JNK1 antibody

Accession NoSwiss-Prot#:P45983

Uniprot P45983

Gene ID 5599;

Calculated MWPredicted band size: 48/53 kDa

Sdspage MWObserved band size: 48/53 kDa

Formulation1*TBS (pH7.4), 1%BSA, 40%Glycerol. Preservative: 0.05% Sodium Azide.

StorageStore at -20˚C

Application Details
WB: 1:500-1:2000
ICC/IF: 1:50-1:200
IHC: 1:50-1:200
All lanes : JNK1/2/3(Phospho-T183/T183/T221) Rabbit mAb Rabbit mAb at 1/1k dilution

Lane 1 : NIH/3T3 whole cell lysates
Lane 2 : NIH/3T3 treated with Anisomycin whole cell lysates
Lane 3 : 293 whole cell lysates
Lane 4 : 293 treated with Anisomycin whole cell lysates

Lysates/proteins at 20 µg per lane.

Secondary
All lanes : Goat Anti-Rabbit IgG H&L (HRP) at 1/20000 dilution

Predicted band size: 48/53 kDa
Observed band size: 48/53 kDa

Exposure time: 15 seconds
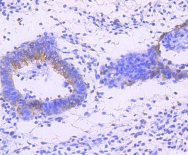
Formalin-fixed, paraffin-embedded human uterus tissue stained for JNK1/2/3(Phospho-T183/T183/T221) using 13371 at 1/100 dilution in immunohistochemical analysis.
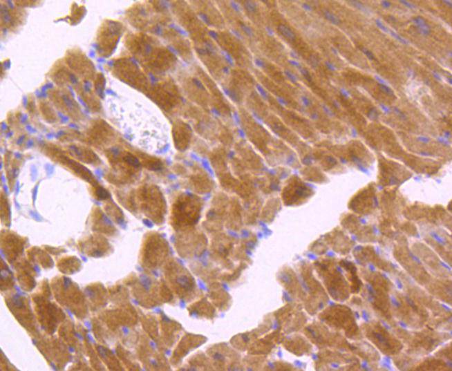
Formalin-fixed, paraffin-embedded mouse heart uterus tissue stained for JNK1/2/3(Phospho-T183/T183/T221) using 13371 at 1/100 dilution in immunohistochemical analysis.
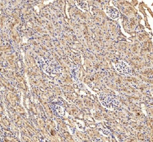
Formalin-fixed, paraffin-embedded rat kidney uterus tissue stained for JNK1/2/3(Phospho-T183/T183/T221) using 13371 at 1/100 dilution in immunohistochemical analysis.
Immunocytochemistry/ Immunofluorescence JNK1/2/3(Phospho-T183/T183/T221) antibody (13371)

ICC/IF staining of JNK1/2/3(Phospho-T183/T183/T221) in HeLa cells. Cells were fixed with 4% Paraformaldehyde permeabilized with 0.1% Triton X-100.
Samples were incubated with 13371 at a working dilution of 1/100. The secondary antibody was Alexa Fluor® 488 goat anti rabbit, used at a dilution of 1/500.
The cells were incubated 30 minutes at room temperature with phalloidin tritc .
Nuclei were counterstained with DAPI.
JNKs (c-Jun N-terminal kinases) belong to a family of MAP kinases that are involved in a variety of cellular processes, including transcriptional regulation and cellular proliferation, differentiation and development. JNK2 (c-Jun N-terminal kinase 2) and JNK3 (c-Jun N-terminal kinase 3) are 424 and 464 amino acid proteins, respectively, that each contain one protein kinase domain and use magnesium as a cofactor to catalyze the phosphorylation of target proteins, thereby playing a role in a variety of events throughout the cell. Both JNK2 and JNK3 exist as multiple alternatively spliced isoforms and are subject to post-translational phosphorylation on Thr 183 and Thr 221, respectively, an event which activates JNK2/JNK3 enzymatic activity. Defects in the gene encoding JNK3 are a cause of epileptic encephalopathy of the Lennox-Gastaut type, a group of epileptic disorders characterized by severe psychomotor delay and seizures.

If you have published an article using product 13371, please notify us so that we can cite your literature.

et al,Gingerenone A Attenuates Ulcerative Colitis via Targeting IL-17RA to Inhibit Inflammation and Restore Intestinal Barrier Function. In Adv Sci (Weinh) on 2024 Jul by Jian Liang, Weigang Dai,et al..PMID:38639442 , (2024),
PMID: 38639442
et al,Baicalin ameliorates angiotensin II-induced cardiac hypertrophy and mitogen-activated protein kinase signaling pathway activation: A target-based network pharmacology approach. In Eur J Pharmacol on 2024 Oct 15 by Ying Cheng, Guosheng Lin, et al..PMID:39127302 , (2024),
PMID: 39127302
et al,Mechanisms underlying the effects of the conditional knockdown of hepatic PCSK9 in attenuating lipopolysaccharide-induced acute liver inflammation , (2024),
PMID:
et al,Mechanisms underlying the effects of the conditional knockdown of hepatic PCSK9 in attenuating lipopolysaccharide-induced acute liver inflammation. , (2025),
PMID: 39716700

NOTE

Application

  • WBWestern Blotting
  • IHCImmunohistochemistry
  • IFImmunofluorescence
  • ICCImmunocytochemistry
  • FCFlow Cytometry
  • IPImmunoprecipitation
  • EELISA
  • DBDot Blotting
  • ChIPChromatin Immunoprecipitation
  • GICAGold Immunochromatography Assay
  • NCNegative Control

Species Reactivity

  • HuHuman
  • MsMouse
  • RtRat
  • DmDrosophila melanogaster
  • CCaenorhabditis elegans
  • MkMonkey
  • RbRabbit
  • BBovine
  • DDog
  • PPig
  • HmHamster
  • ChHmChinese Hamster
  • ChkChicken
  • ShpSheep
;