Welcome to Sabbiotech!     
Email:info@signalwayantibody.com
Location: Home > Polyclonal Antibodies > STAU1 Antibody

STAU1 Antibody#25197

Availability: Yes
Total Amount:$
Product Detail

Product NameSTAU1 Antibody

Host SpeciesRabbit

ClonalityPolyclonal

PurificationAffinity chromatography purified via peptide column

ApplicationsELISA WB IHC

Species ReactivityHu Ms Rt

Immunogen TypePeptide

Immunogen DescRaised against a 15 amino acid peptide near the carboxy terminus of human STAU1.

Target NameSTAU1

ConjugateUnconjugated

Other NamesRNA-binding protein Staufen homolog 1, STAU

Accession NoSwiss-Prot:O95793
Gene ID:6780

Uniprot O95793

Gene ID 6780;

Concentration1mg/ml

FormulationSupplied in PBS containing 0.02% sodium azide.

StorageCan be stored at -20˚C, stable for one year. As with all antibodies care should be taken to avoid repeated freeze thaw cycles. Antibodies should not be exposed to prolonged high temperatures.

Application Details
Western blot analysis of STAU1 in rat brain tissue lysate with STAU1 antibody at (A) 1 and (B) 2 ug/mL.
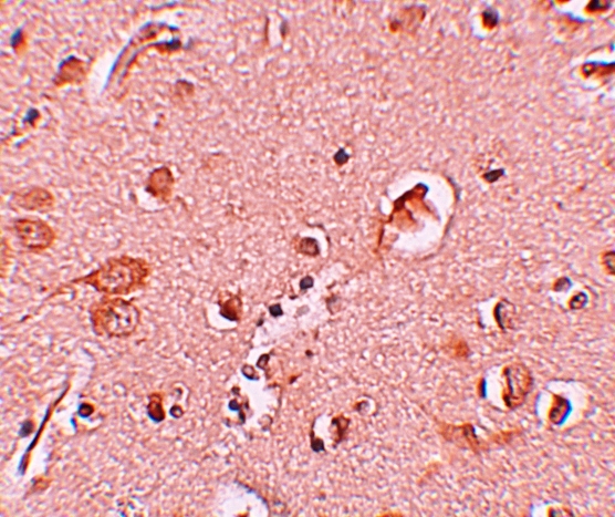
Immunohistochemistry of STAU1 in human brain tissue with STAU1 antibody at 10 ug/mL.
STAU1 is a member of a family of double-stranded RNA (dsRNA)-binding proteins involved in the transport and/or localization of mRNAs to different subcellular compartments and/or organelles. These proteins are characterized by the presence of multiple dsRNA-binding domains which are required to bind RNAs having double-stranded secondary structures. The human STAU1 also contains a microtubule- binding domain similar to that of microtubule-associated protein 1B, and binds tubulin. STAU1 has been shown to be present in the cytoplasm in association with the rough endoplasmic reticulum (RER), implicating this protein in the transport of mRNA via the microtubule network to the RER. STAU1 is also known to interact with influenza ribonucleoproteins NS1, NP, and PA and is required for efficient viral replication.

If you have published an article using product 25197, please notify us so that we can cite your literature.

et al,Expression and Significance of Staufen1 in the Placenta in Severe Preeclampsia , (2019),
PMID:

NOTE

Application

  • WBWestern Blotting
  • IHCImmunohistochemistry
  • IFImmunofluorescence
  • ICCImmunocytochemistry
  • FCFlow Cytometry
  • IPImmunoprecipitation
  • EELISA
  • DBDot Blotting
  • ChIPChromatin Immunoprecipitation
  • GICAGold Immunochromatography Assay
  • NCNegative Control

Species Reactivity

  • HuHuman
  • MsMouse
  • RtRat
  • DmDrosophila melanogaster
  • CCaenorhabditis elegans
  • MkMonkey
  • RbRabbit
  • BBovine
  • DDog
  • PPig
  • HmHamster
  • ChHmChinese Hamster
  • ChkChicken
  • ShpSheep
;