Welcome to Sabbiotech!     
Email:info@signalwayantibody.com
Location: Home > Polyclonal Antibodies > Vimentin Polyclonal Antibody

Vimentin Polyclonal Antibody#27578

Availability: Yes
Total Amount:$
Product Detail

Product NameVimentin Polyclonal Antibody

Host SpeciesRabbit

ClonalityPolyclonal

IsotypeIgG

PurificationAffinity purification

ApplicationsWB,IHC,IF

Species ReactivityHuman,Mouse,Rat

Immunogen DescRecombinant fusion protein of human Vimentin (NP_003371.2).

ConjugateUnconjugated

Other NamesVIM; CTRCT30; HEL113; vimentin

Accession NoSwiss-Prot#:P08670
NCBI Gene ID:7431

Uniprot P08670

Gene ID 7431;

Calculated MW57kDa

FormulationAvoid freeze / thaw cycles.|Buffer: PBS with 50% glycerol, pH7.4.

StorageStore at -20˚C

Application Details
WB 1:500 - 1:2000
IHC 1:50 - 1:200
IF 1:50 - 1:200
Western blot analysis of extracts of various cell lines, using Vimentin at 1:1000 dilution.
Western blot analysis of extracts from normal (control) and Vimentin knockout (KO) 293T cells, using Vimentin at 1:1000 dilution.
Immunohistochemistry of paraffin-embedded human tonsil using Vimentin at dilution of 1:150 (40x lens).
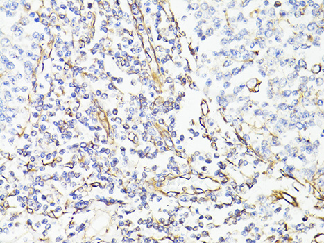
Immunohistochemistry of paraffin-embedded human stomach using Vimentin at dilution of 1:150 (40x lens).
Immunofluorescence analysis of L929 cells using [KO] Vimentin at dilution of 1:100. Blue: DAPI for nuclear staining.
This gene encodes a member of the intermediate filament family. Intermediate filamentents, along with microtubules and actin microfilaments, make up the cytoskeleton. The protein encoded by this gene is responsible for maintaining cell shape, integrity of the cytoplasm, and stabilizing cytoskeletal interactions. It is also involved in the immune response, and controls the transport of low-density lipoprotein (LDL)-derived cholesterol from a lysosome to the site of esterification. It functions as an organizer of a number of critical proteins involved in attachment, migration, and cell signaling. Mutations in this gene causes a dominant, pulverulent cataract.

If you have published an article using product 27578, please notify us so that we can cite your literature.

et al,Telomerase reverse transcriptase gene knock-in unleashes enhanced longevity and accelerated damage repair in mice , (2024),
PMID:

NOTE

Application

  • WBWestern Blotting
  • IHCImmunohistochemistry
  • IFImmunofluorescence
  • ICCImmunocytochemistry
  • FCFlow Cytometry
  • IPImmunoprecipitation
  • EELISA
  • DBDot Blotting
  • ChIPChromatin Immunoprecipitation
  • GICAGold Immunochromatography Assay
  • NCNegative Control

Species Reactivity

  • HuHuman
  • MsMouse
  • RtRat
  • DmDrosophila melanogaster
  • CCaenorhabditis elegans
  • MkMonkey
  • RbRabbit
  • BBovine
  • DDog
  • PPig
  • HmHamster
  • ChHmChinese Hamster
  • ChkChicken
  • ShpSheep
;