Welcome to Sabbiotech!     
Email:info@signalwayantibody.com
Location: Home > Polyclonal Antibodies > LC3B Polyclonal Antibody

LC3B Polyclonal Antibody#29075

Availability: Yes
Total Amount:$
Product Detail

Product NameLC3B Polyclonal Antibody

Host SpeciesRabbit

ClonalityPolyclonal

IsotypeIgG

PurificationAffinity purification

ApplicationsWB,IHC,IF

Species ReactivityHuman,Mouse,Rat

Immunogen DescA synthetic peptide of human LC3B (NP_073729.1).

ConjugateUnconjugated

Other NamesLC3B;ATG8F;MAP1LC3B-a;MAP1A/1BLC3;MAP1LC3B;LC3A/LC3B

Accession NoGeneID:81631
Swiss Prot:Q9GZQ8

Uniprot Q9GZQ8

Gene ID 81631;

Calculated MW14kDa

Sdspage MW14kDa/15kDa

Concentration1.0mg/ml

FormulationPBS with 0.02% sodium azide,50% glycerol,pH7.3.

StorageStore at -20˚C. Avoid freeze / thaw cycles.|Buffer: PBS with 0.02% sodium azide,50% glycerol,pH7.126.

Application Details
WB 1:500 - 1:2000
IHC 1:50 - 1:200
IF 1:50 - 1:200
Immunofluorescence analysis of LC3B knockout 293T cells treated by chloroquine and wild-type 293T cells ��wild-type 293T cells treated by chloroquine using LC3B Rabbit pAb at dilution of 1:100. Blue: DAPI for nuclear staining.
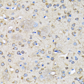
Immunohistochemistry of paraffin-embedded mouse brain using LC3B antibody at dilution of 1:100 .
Immunohistochemistry of paraffin-embedded rat brain using LC3B antibody at dilution of 1:100 .
Western blot analysis of extracts of 293T cells, using LC3B antibody at 1:1000 dilution.293T cells were treated by Chloroquine at 37�� for 20 hours.
Western blot analysis of extracts of various cell lines, using LC3B antibody at 1:1000 dilution.
The product of this gene is a subunit of neuronal microtubule-associated MAP1A and MAP1B proteins, which are involved in microtubule assembly and important for neurogenesis. Studies on the rat homolog implicate a role for this gene in autophagy, a process that involves the bulk degradation of cytoplasmic component.

If you have published an article using product 29075, please notify us so that we can cite your literature.

et al,The AMPK-dependent inhibition of autophagy plays a crucial role in protecting photoreceptor from photooxidative injury In J Photochem Photobiol B On2023 AugbyYu-Lin Li , Tian-Zi Zhang et al..PMID:37302163 , (2023),
PMID: 37302156
et al,Cannabinoid receptor-2 attenuates neuroinflammation by promoting autophagy-mediated degradation of the NLRP3 inflammasome post spinal cord injury , (2022),
PMID: 36238284

NOTE

Application

  • WBWestern Blotting
  • IHCImmunohistochemistry
  • IFImmunofluorescence
  • ICCImmunocytochemistry
  • FCFlow Cytometry
  • IPImmunoprecipitation
  • EELISA
  • DBDot Blotting
  • ChIPChromatin Immunoprecipitation
  • GICAGold Immunochromatography Assay
  • NCNegative Control

Species Reactivity

  • HuHuman
  • MsMouse
  • RtRat
  • DmDrosophila melanogaster
  • CCaenorhabditis elegans
  • MkMonkey
  • RbRabbit
  • BBovine
  • DDog
  • PPig
  • HmHamster
  • ChHmChinese Hamster
  • ChkChicken
  • ShpSheep
;