Welcome to Sabbiotech!     
Email:info@signalwayantibody.com
Location: Home > Polyclonal Antibodies > BIRC7 Antibody

BIRC7 Antibody#31094

Availability: Yes
Total Amount:$
Product Detail

Product NameBIRC7 Antibody

Host SpeciesRabbit

ClonalityPolyclonal

ApplicationsELISA WB IHC

Species ReactivityHuman, Mouse

SpecificityThe antibody detects endogenous level of BIRC7 protein.

Immunogen TypeRecombinant Protein

Immunogen DescFusion protein of human BIRC7

Target NameBIRC7

ConjugateUnconjugated

Other Namesbaculoviral IAP repeat containing 7, KIAP, LIVIN, MLIAP, RNF50, ML-IAP

Uniprot Q96CA5

Concentration1.1mg/ml

FormulationRabbit IgG in pH7.4 PBS, 0.05% NaN3, 40% Glycerol.

StorageStore at -20˚C/1 year

Application Details

WB 1:500 - 1:2000. IHC 1:50 - 1:200. ELISA 1:5000 - 1:10000.

Gel: 8%SDS-PAGELysate: 40 ugLane: Mouse adrenal gland tissue lysatePrimary antibody: at dilution 1/700Secondary antibody: at 1/5000 dilutionExposure time: 90 seconds
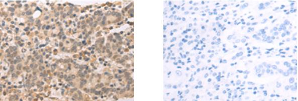
The image on the left is immunohistochemistry of paraffinembedded Human gastric cancer tissue at dilution 1/75, on the right is treated with fusion protein.(Original magnification: 200)

The protein encoded by this gene is a member of the family of inhibitor of apoptosis proteins (IAP) and contains a single copy of a baculovirus IAP repeat (BIR) as well as a RING-type zinc finger domain. The BIR domain is essential for inhibitory activity and interacts with caspases, while the RING finger domain sometimes enhances antiapoptotic activity but does not inhibit apoptosis alone. Two transcript variants encoding different isoforms have been found for this gene. The two isoforms have different antiapoptotic properties, with isoform alpha protecting cells from apoptosis induced by staurosporine and isoform b protecting cells from apoptosis induced by etoposide.?

If you have published an article using product 31094, please notify us so that we can cite your literature.

et al,Androgen receptor-induced molecules and androgen contribute synergistically to male-predominance of hepatocellular carcinoma. In iScience on 2024 Jul 15 by Jiayi Zhao, Letian Fang,et al..PMID:39156638 , (2024),
PMID: 39156638

NOTE

Application

  • WBWestern Blotting
  • IHCImmunohistochemistry
  • IFImmunofluorescence
  • ICCImmunocytochemistry
  • FCFlow Cytometry
  • IPImmunoprecipitation
  • EELISA
  • DBDot Blotting
  • ChIPChromatin Immunoprecipitation
  • GICAGold Immunochromatography Assay
  • NCNegative Control

Species Reactivity

  • HuHuman
  • MsMouse
  • RtRat
  • DmDrosophila melanogaster
  • CCaenorhabditis elegans
  • MkMonkey
  • RbRabbit
  • BBovine
  • DDog
  • PPig
  • HmHamster
  • ChHmChinese Hamster
  • ChkChicken
  • ShpSheep
;