Welcome to Sabbiotech!     
Email:info@signalwayantibody.com
Location: Home > Polyclonal Antibodies > NPHS1 Antibody

NPHS1 Antibody#31249

Availability: Yes
Total Amount:$
Product Detail

Product NameNPHS1 Antibody

Host SpeciesRabbit

ClonalityPolyclonal

ApplicationsELISA WB IHC

Species ReactivityHu Ms

SpecificityThe antibody detects endogenous level of total NPHS1 protein.

Immunogen TypePeptide

Immunogen DescSynthetic peptide peptide corresponding to a region derived from 1229-1241 amino acids of human nephrosis 1, congenital, Finnish type (nephrin)

Target NameNPHS1

ConjugateUnconjugated

Other Namesnephrosis 1, congenital, Finnish type (nephrin), CNF, NPHN, nephrin

Accession NoSwiss-Prot:O60500
Gene ID:4868;

Uniprot O60500

Gene ID 4868;

Concentration1 mg/ml

FormulationRabbit IgG in pH7.4 PBS, 0.05% NaN3, 40% Glycerol.

StorageStore at -20˚C/1 year

Application Details
Predicted MW: 135kd
ELISA: 1:2000-1:5000
Western blotting: 1:500-1:2000
Immunohistochemistry: 1:25-1:100
Gel: 8% SDS-PAGE
Lane1: Mouse spleen tissue lysate
Lane2: Mouse kidney tissue lysate
Lysates: 40ug per lane
Primary antibody: 1/800 dilution
Secondary antibody: Goat anti Rabbit IgG - H&L (HRP) at 1/5000 dilution
Exposure time: 1 minute
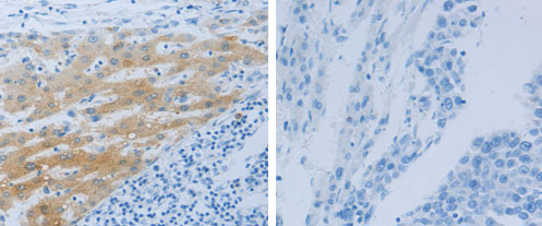
The image on the left is immunohistochemistry of paraffin-embedded Human liver cancer tissue using 31249 (NPHS1 Antibody) at dilution 1/50, on the right is treated with the synthetic peptide.
This gene encodes a member of the immunoglobulin family of cell adhesion molecules that functions in the glomerular filtration barrier in the kidney. The gene is primarily expressed in renal tissues, and the protein is a type-1 transmembrane protein found at the slit diaphragm of glomerular podocytes. The slit diaphragm is thought to function as an ultrafilter to exclude albumin and other plasma macromolecules in the formation of urine. Mutations in this gene result in Finnish-type congenital nephrosis 1, characterized by severe proteinuria and loss of the slit diaphragm and foot processes.In Western blots, nephrin antibodies generated against the two terminal extracellular Ig domains of recombinant human nephrin recognized a 180-kDa protein in lysates of human glomeruli and a 150-kDa protein in transfected COS-7 cell lysates.

If you have published an article using product 31249, please notify us so that we can cite your literature.

et al,Effects of transcription factor EB on oxidative stress and apoptosis Induced by high glucose In podocytes. In Int J Mol Med on 2019 May 24 by Kang Y, Li Y, et al.. PMID: 31173156 , (2019),
PMID: 31173156

NOTE

Application

  • WBWestern Blotting
  • IHCImmunohistochemistry
  • IFImmunofluorescence
  • ICCImmunocytochemistry
  • FCFlow Cytometry
  • IPImmunoprecipitation
  • EELISA
  • DBDot Blotting
  • ChIPChromatin Immunoprecipitation
  • GICAGold Immunochromatography Assay
  • NCNegative Control

Species Reactivity

  • HuHuman
  • MsMouse
  • RtRat
  • DmDrosophila melanogaster
  • CCaenorhabditis elegans
  • MkMonkey
  • RbRabbit
  • BBovine
  • DDog
  • PPig
  • HmHamster
  • ChHmChinese Hamster
  • ChkChicken
  • ShpSheep
;