Welcome to Sabbiotech!     
Email:info@signalwayantibody.com
Location: Home > Polyclonal Antibodies > SDHA Antibody

SDHA Antibody#32741

Availability: Yes
Total Amount:$
Product Detail

Product NameSDHA Antibody

Host SpeciesRabbit

ClonalityPolyclonal

PurificationAntibodies were purified by affinity purification using immunogen.

ApplicationsWB,IHC,IF

Species ReactivityHuman,Mouse,Rat

SpecificityThe antibody detects endogenous level of total SDHA protein.

Immunogen TypeRecombinant Protein

Immunogen DescRecombinant protein of human SDHA.

Target NameSDHA

ConjugateUnconjugated

Other NamesFP; PGL5; SDH1; SDH2; SDHF

Accession NoSwiss-Prot:P31040
NCBI Gene ID:6389

Uniprot P31040

Gene ID 6389;

Sdspage MW72KD

Concentration1.0mg/ml

FormulationSupplied at 1.0mg/mL in phosphate buffered saline (without Mg2+ and Ca2+), pH 7.4, 150mM NaCl, 0.02% sodium azide and 50% glycerol.

StorageStore at -20˚C

Application Details
WB 1:500 - 1:2000
IHC 1:50 - 1:200
IF 1:10 - 1:100
Immunofluorescence analysis of HeLa cells using SDHA . Blue: DAPI for nuclear staining.
Western blot analysis of extracts of various cell lines, using SDHA at 1:1000 dilution.
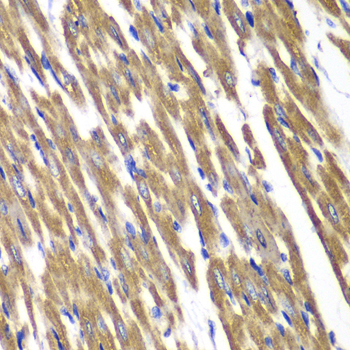
Immunohistochemistry of paraffin-embedded rat heart using SDHA at dilution of 1:100 (40x lens).
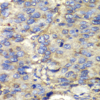
Immunohistochemistry of paraffin-embedded human liver cancer using SDHA at dilution of 1:100 (40x lens).
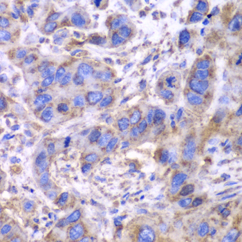
Immunohistochemistry of paraffin-embedded human esophageal cancer using SDHA at dilution of 1:100 (40x lens).
This gene encodes a major catalytic subunit of succinate-ubiquinone oxidoreductase, a complex of the mitochondrial respiratory chain. The complex is composed of four nuclear-encoded subunits and is localized in the mitochondrial inner membrane. Mutations in this gene have been associated with a form of mitochondrial respiratory chain deficiency known as Leigh Syndrome. A pseudogene has been identified on chromosome 3q29.

If you have published an article using product 32741, please notify us so that we can cite your literature.

et al,Multifunctional manganese-based nanogels catalyze immune energy metabolism to promote bone repair , (2025),
PMID:

NOTE

Application

  • WBWestern Blotting
  • IHCImmunohistochemistry
  • IFImmunofluorescence
  • ICCImmunocytochemistry
  • FCFlow Cytometry
  • IPImmunoprecipitation
  • EELISA
  • DBDot Blotting
  • ChIPChromatin Immunoprecipitation
  • GICAGold Immunochromatography Assay
  • NCNegative Control

Species Reactivity

  • HuHuman
  • MsMouse
  • RtRat
  • DmDrosophila melanogaster
  • CCaenorhabditis elegans
  • MkMonkey
  • RbRabbit
  • BBovine
  • DDog
  • PPig
  • HmHamster
  • ChHmChinese Hamster
  • ChkChicken
  • ShpSheep
;