Welcome to Sabbiotech!     
Email:info@signalwayantibody.com
Location: Home > Polyclonal Antibodies > HTR1A Antibody

HTR1A Antibody#36720

Availability: Yes
Total Amount:$
Product Detail

Product NameHTR1A Antibody

Host SpeciesRabbit

ClonalityPolyclonal

PurificationAntigen affinity purification.

ApplicationsWB IHC

Species ReactivityHu Ms Rt

SpecificityThe antibody detects endogenous levels of total HTR1A protein.

Immunogen TypePeptide

Immunogen DescSynthetic peptide corresponding to a region derived from internal residues of human 5-hydroxytryptamine receptor 1A

Target NameHTR1A

ConjugateUnconjugated

Other Names5-HT1A; ADRB2RL1; ADRBRL1

Accession NoSwiss-Prot#: P08908
NCBI Gene ID: 3350
Gene Accssion: NP_000515

Uniprot P08908

Gene ID 3350;

Sdspage MW46kd

Concentration2.9mg/ml

FormulationRabbit IgG in pH7.4 PBS, 0.05% NaN3, 40% Glycerol.

StorageStore at -20˚C

Application Details
Western blotting: 1:1000-1:5000
Immunohistochemistry: 1:100-1:300
Gel: 8%SDS-PAGE
Lysates (from left to right): HT-29 cell and Mouse brain tissue
Amount of lysate: 30ug per lane
Primary antibody: 1/1500 dilution
Secondary antibody dilution: 1/8000
Exposure time: 2 minutes
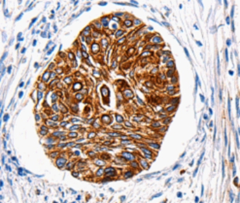
Immunohistochemical analysis of paraffin-embedded Human cervical cancer tissue using #36720 at dilution 1/100.
This gene encodes a G protein-coupled receptor for 5-hydroxytryptamine (serotonin), and belongs to the 5-hydroxytryptamine receptor subfamily. Serotonin has been implicated in a number of physiologic processes and pathologic conditions. Inactivation of this gene in mice results in behavior consistent with an increased anxiety and stress response. Mutation in the promoter of this gene has been associated with menstrual cycle-dependent periodic fevers

If you have published an article using product 36720, please notify us so that we can cite your literature.

et al,The epigenetic role of HTR1A antagonist in facilitating GnRH expression for pubertal initiation control , (2021),
PMID: 34458005
et al,The epigenetic role of HTR1A antagonist in facilitating GnRH expression for pubertal initiation control , (2021),
PMID: 34458005

NOTE

Application

  • WBWestern Blotting
  • IHCImmunohistochemistry
  • IFImmunofluorescence
  • ICCImmunocytochemistry
  • FCFlow Cytometry
  • IPImmunoprecipitation
  • EELISA
  • DBDot Blotting
  • ChIPChromatin Immunoprecipitation
  • GICAGold Immunochromatography Assay
  • NCNegative Control

Species Reactivity

  • HuHuman
  • MsMouse
  • RtRat
  • DmDrosophila melanogaster
  • CCaenorhabditis elegans
  • MkMonkey
  • RbRabbit
  • BBovine
  • DDog
  • PPig
  • HmHamster
  • ChHmChinese Hamster
  • ChkChicken
  • ShpSheep
;