Welcome to Sabbiotech!     
Email:info@signalwayantibody.com
Location: Home > Polyclonal Antibodies > ABI1 Antibody

ABI1 Antibody#36723

Availability: Yes
Total Amount:$
Product Detail

Product NameABI1 Antibody

Host SpeciesRabbit

ClonalityPolyclonal

PurificationAntigen affinity purification.

ApplicationsWB IHC

Species ReactivityHu Ms Rt

SpecificityThe antibody detects endogenous levels of total ABI1 protein.

Immunogen TypePeptide

Immunogen DescSynthetic peptide corresponding to residues near the C terminal of human abl-interactor 1

Target NameABI1

ConjugateUnconjugated

Other NamesE3B1; ABI-1; ABLBP4; NAP1BP; SSH3BP; SSH3BP1

Accession NoSwiss-Prot#: Q8IZP0
NCBI Gene ID: 10006
Gene Accssion: NP_005461

Uniprot Q8IZP0

Gene ID 10006;

Sdspage MW55kd

Concentration2.3mg/ml

FormulationRabbit IgG in pH7.4 PBS, 0.05% NaN3, 40% Glycerol.

StorageStore at -20˚C

Application Details
Western blotting: 1:500-1:2000
Immunohistochemistry: 1:50-1:200
Gel: 8%SDS-PAGE
Lysates (from left to right): Human fetal brain tissue
Amount of lysate: 40ug per lane
Primary antibody: 1/300 dilution
Secondary antibody dilution: 1/8000
Exposure time: 20 seconds
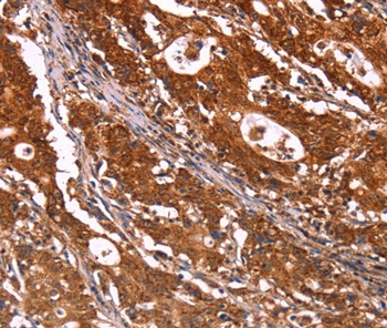
Immunohistochemical analysis of paraffin-embedded Human gastric cancer tissue using #36723 at dilution 1/40.
This gene encodes a member of the Abelson-interactor family of adaptor proteins. These proteins facilitate signal transduction as components of several multiprotein complexes, and regulate actin polymerization and cytoskeletal remodeling through interactions with Abelson tyrosine kinases. The encoded protein plays a role in macropinocytosis as a component of the WAVE2 complex, and also forms a complex with EPS8 and SOS1 that mediates signal transduction from Ras to Rac. This gene may play a role in the progression of several malignancies including melanoma, colon cancer and breast cancer, and a t(10;11) chromosomal translocation involving this gene and the MLL gene has been associated with acute myeloid leukemia. Alternatively spliced transcript variants encoding multiple isoforms have been observed for this gene, and a pseudogene of this gene is located on the long arm of chromosome 14

If you have published an article using product 36723, please notify us so that we can cite your literature.

et al,Proteomic characteristics reveal the signatures and the risks of T1 colorectal cancer metastasis to lymph nodes , (2023),
PMID: 37158593

NOTE

Application

  • WBWestern Blotting
  • IHCImmunohistochemistry
  • IFImmunofluorescence
  • ICCImmunocytochemistry
  • FCFlow Cytometry
  • IPImmunoprecipitation
  • EELISA
  • DBDot Blotting
  • ChIPChromatin Immunoprecipitation
  • GICAGold Immunochromatography Assay
  • NCNegative Control

Species Reactivity

  • HuHuman
  • MsMouse
  • RtRat
  • DmDrosophila melanogaster
  • CCaenorhabditis elegans
  • MkMonkey
  • RbRabbit
  • BBovine
  • DDog
  • PPig
  • HmHamster
  • ChHmChinese Hamster
  • ChkChicken
  • ShpSheep
;