Welcome to Sabbiotech!     
Email:info@signalwayantibody.com
Location: Home > Mouse Monoclonal Antibodies > GFAP Mouse Monoclonal Antibody

GFAP Mouse Monoclonal Antibody#38014

Availability: Yes
Total Amount:$
Product Detail

Product NameGFAP Mouse Monoclonal Antibody

Host SpeciesMouse

ClonalityMonoclonal

PurificationThe antibody was affinity-purified from mouse ascites by affinity-chromatography using specific immunogen.

ApplicationsHuman;Rat;Mouse

Species ReactivityRt Ms

SpecificityThe GFAP Mouse Monoclonal antibody detects endogenous GFAP proteins.

Target NameGFAP

ConjugateUnconjugated

Other NamesFLJ45472; GFAP; Glial fibrillary acidic protein

Accession NoSwiss-Prot#:P14136

Uniprot P14136

Gene ID 2670;

Sdspage MW45kd

Concentration1.0mg/ml

FormulationPBS, pH 7.4, containing 0.5%BSA, 0.02% sodium azide as Preservative and 50% Glycerol.

StorageStore at -20˚C

Application Details

WB: 1:2000~1:5000


IHC dilution:1:50-300

IHC: 1:50-300

IF: 1:100-1:200

 


IF dilution:1:200

Western blot analysis of lysates from 1) Rat Brain Tissue, 2)HeLa , 3)A431, 4) PC12 cells, (Green) primary antibody was diluted at 1:1000, 4°over night, secondary antibody was diluted at 1:10000, 37° 1hour. (Red) Tubulin β Polyclonal Antibody antibody was diluted at 1:5000 as loading control, 4° over night,secondary antibody was diluted at 1:10000, 37° 1hour.
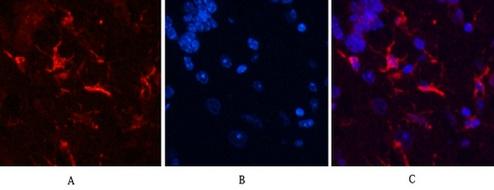
Immunofluorescence analysis of Rat-brain tissue. 1,GFAP Monoclonal Antibody(5C8)(red) was diluted at 1:200(4°C,overnight). 2, Cy3 labled Secondary antibody was diluted at 1:300(room temperature, 50min).3, Picture B: DAPI(blue) 10min. Picture A:Target. Picture B: DAPI. Picture C: merge of A+B
Immunofluorescence analysis of Mouse-brain tissue. 1,GFAP Monoclonal Antibody(5C8)(red) was diluted at 1:200(4°C,overnight). 2, Cy3 labled Secondary antibody was diluted at 1:300(room temperature, 50min).3, Picture B: DAPI(blue) 10min. Picture A:Target. Picture B: DAPI. Picture C: merge of A+B
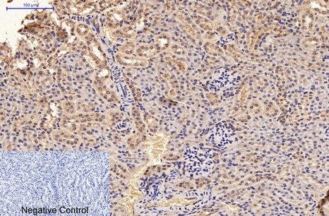
Immunohistochemical analysis of paraffin-embedded Mouse-kidney tissue. 1,GFAP Monoclonal Antibody(5C8) was diluted at 1:200(4°C,overnight). 2, Sodium citrate pH 6.0 was used for antibody retrieval(>98°C,20min). 3,Secondary antibody was diluted at 1:200(room tempeRature, 30min). Negative control was used by secondary antibody only.
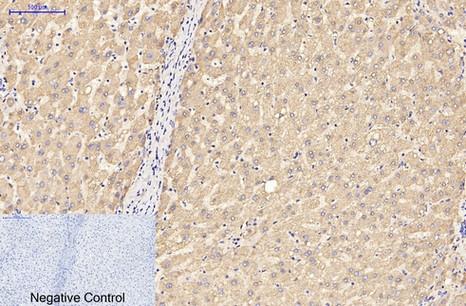
Immunohistochemical analysis of paraffin-embedded Human-liver tissue. 1,GFAP Monoclonal Antibody(5C8) was diluted at 1:200(4°C,overnight). 2, Sodium citrate pH 6.0 was used for antibody retrieval(>98°C,20min). 3,Secondary antibody was diluted at 1:200(room tempeRature, 30min). Negative control was used by secondary antibody only.
Immunofluorescence analysis of Hela cell. 1,AR Polyclonal Antibody(red) was diluted at 1:200(4° overnight). GFAP Monoclonal Antibody(5C8)(green) was diluted at 1:200(4° overnight). 2, Goat Anti Rabbit Alexa Fluor 594 was diluted at 1:1000(room temperature, 50min). Goat Anti Mouse Alexa Fluor 488 was diluted at 1:1000(room temperature, 50min).

This gene encodes one of the major intermediate filament proteins of mature astrocytes. It is used as a marker to distinguish astrocytes from other glial cells during development. Mutations in this gene cause Alexander disease, a rare disorder of astrocytes in the central nervous system. Alternative splicing results in multiple transcript variants encoding distinct isoforms. [provided by RefSeq, Oct 2008],

If you have published an article using product 38014, please notify us so that we can cite your literature.

et al,Astragalin Alleviates Neuropathic Pain by Suppressing P2X4-Mediated Signaling in the Dorsal Root Ganglia of Rats. In Front Neurosci on 2021 Jan 11 by Mengke Wang, Xia Cai,et al..PMID:33505232 , (2020),
PMID: 33505232
et al,Effects of Porphyromonas gingivalis and Its Underlying Mechanisms on Alzheimer-Like Tau Hyperphosphorylation in Sprague-Dawley Rats. In J Mol Neurosci on 2021 Jan by Zhiqun Tang, Dan Liang,et al..PMID:32557144 , (2021),
PMID: 32557144
et al,Astragalin Alleviates Neuropathic Pain by Suppressing P2X4-Mediated Signaling in the Dorsal Root Ganglia of Rats. In Front Neurosci on 2021 Jan 11 by Mengke Wang, Xia Cai, et al..PMID:33505232 , (2021),
PMID: 33505232
et al,The inhibition of PGAM5 suppresses seizures in a kainate-induced epilepsy model via mitophagy reduction.In Front Mol Neurosci on 2022 Dec 22 by Fuxin Zhong, Yunhao Gan, et al..PMID:36618822 , (2022),
PMID: 36618822
et al,Amiloride alleviates morphine tolerance by suppressing ASIC3-dependent neuroinflammation in the spinal cord. In Eur J Pharmacol on 2024 Jan 15 by Liba Gei, Yan Yan,et al..PMID:37918499 , (2024),
PMID: 37918499
et al,Artemisinin alleviates astrocyte overactivation and neuroinflammation by modulating the IRE1/NF-κB signaling pathway in in vitro and in vivo Alzheimer's disease models. , (2025),
PMID: 39826816

NOTE

Application

  • WBWestern Blotting
  • IHCImmunohistochemistry
  • IFImmunofluorescence
  • ICCImmunocytochemistry
  • FCFlow Cytometry
  • IPImmunoprecipitation
  • EELISA
  • DBDot Blotting
  • ChIPChromatin Immunoprecipitation
  • GICAGold Immunochromatography Assay
  • NCNegative Control

Species Reactivity

  • HuHuman
  • MsMouse
  • RtRat
  • DmDrosophila melanogaster
  • CCaenorhabditis elegans
  • MkMonkey
  • RbRabbit
  • BBovine
  • DDog
  • PPig
  • HmHamster
  • ChHmChinese Hamster
  • ChkChicken
  • ShpSheep
;