Welcome to Sabbiotech!     
Email:info@signalwayantibody.com
Location: Home > Polyclonal Antibodies > PRELP antibody

PRELP antibody#40410

Availability: Yes
Total Amount:$
Product Detail

Product NamePRELP antibody

Host SpeciesRabbit

ClonalityPolyclonal

PurificationAntigen affinity purification

ApplicationsWB, IHC

Species ReactivityHu, Ms, Rt

Immunogen DescFusion protein of human PRELP

Target NamePRELP

ConjugateUnconjugated

Other NamesMST161; SLRR2A; MSTP161

Accession NoNCBI Protein#:BC032498

Uniprot P51888

Gene ID 5549

Calculated MW44 kDa

Concentration0.9mg/ml

FormulationpH7.4 PBS, 0.05% NaN3, 40% Glycerol

StorageStore at -20˚C/1 year

Application Details
WB dilution:1:500-1:2000
IHC dilution:1:100-1:300
Gel: 8%SDS-PAGE, Lysate: 40 μg, Lane: Mouse heart tissue lysate, Primary antibody:PRELP Antibody at dilution 1/900, Secondary antibody: Goat anti rabbit IgG at 1/5000 dilution, Exposure time: 1 minute
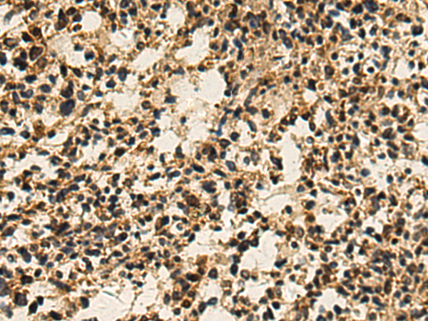
The image is immunohistochemistry of paraffin-embedded Human ovarian cancer tissue using (PRELP Antibody) at dilution 1/120.
The protein encoded by this gene is a leucine-rich repeat protein present in connective tissue extracellular matrix. This protein functions as a molecule anchoring basement membranes to the underlying connective tissue. This protein has been shown to bind type I collagen to basement membranes and type II collagen to cartilage. It also binds the basement membrane heparan sulfate proteoglycan perlecan. This protein is suggested to be involved in the pathogenesis of Hutchinson-Gilford progeria (HGP), which is reported to lack the binding of collagen in basement membranes and cartilage. Alternatively spliced transcript variants encoding the same protein have been observed. [provided by RefSeq, Jul 2008]

If you have published an article using product 40410, please notify us so that we can cite your literature.

et al,PRELP inhibits colorectal cancer progression by suppressing epithelial-mesenchymal transition and angiogenesis via the inactivation of the FGF1/PI3K/AKT pathway. In Apoptosis on 2024 Sep 6 by Xiaoqing Li, Zhongxiang Jiang,et al..PMID:39242474 , (2024),
PMID: 39242474

NOTE

Application

  • WBWestern Blotting
  • IHCImmunohistochemistry
  • IFImmunofluorescence
  • ICCImmunocytochemistry
  • FCFlow Cytometry
  • IPImmunoprecipitation
  • EELISA
  • DBDot Blotting
  • ChIPChromatin Immunoprecipitation
  • GICAGold Immunochromatography Assay
  • NCNegative Control

Species Reactivity

  • HuHuman
  • MsMouse
  • RtRat
  • DmDrosophila melanogaster
  • CCaenorhabditis elegans
  • MkMonkey
  • RbRabbit
  • BBovine
  • DDog
  • PPig
  • HmHamster
  • ChHmChinese Hamster
  • ChkChicken
  • ShpSheep
;