Welcome to Sabbiotech!     
Email:info@signalwayantibody.com
Location: Home > Polyclonal Antibodies > Granzyme K Polyclonal Antibody

Granzyme K Polyclonal Antibody#40985

Availability: Yes
Total Amount:$
Product Detail

Product NameGranzyme K Polyclonal Antibody

Host SpeciesRabbit

ClonalityPolyclonal

PurificationThe antibody was affinity-purified from rabbit antiserum by affinity-chromatography using epitope-specific immunogen.

ApplicationsWB IHC IF

Species ReactivityHu Ms Rt

SpecificityGranzyme K Polyclonal Antibody detects endogenous levels of Granzyme K protein.

Immunogen DescSynthesized peptide derived from the Internal region of human Granzyme K.

Target NameGranzyme K

ConjugateUnconjugated

Other NamesGZMK; TRYP2; Granzyme K; Fragmentin-3; Granzyme-3; NK-tryptase-2; NK-Tryp-2

Accession NoSwiss-Prot: P49863
NCBI Gene ID: 3003

Uniprot P49863

Gene ID 3003;

Sdspage MW33kd

Concentration1mg/ml

FormulationLiquid in PBS containing 50% glycerol, 0.5% BSA and 0.02% sodium azide.

StorageStore at -20˚C/1 year

Application Details
Western Blot: 1/500 - 1/2000.
Immunohistochemistry: 1/100 - 1/300.
Immunofluorescence: 1/200 - 1/1000.
Western Blot analysis of Jurkat cells using Granzyme K Polyclonal Antibody
Immunofluorescence analysis of NIH/3T3 cells, using GRAK Antibody. The picture on the right is blocked with the synthesized peptide.
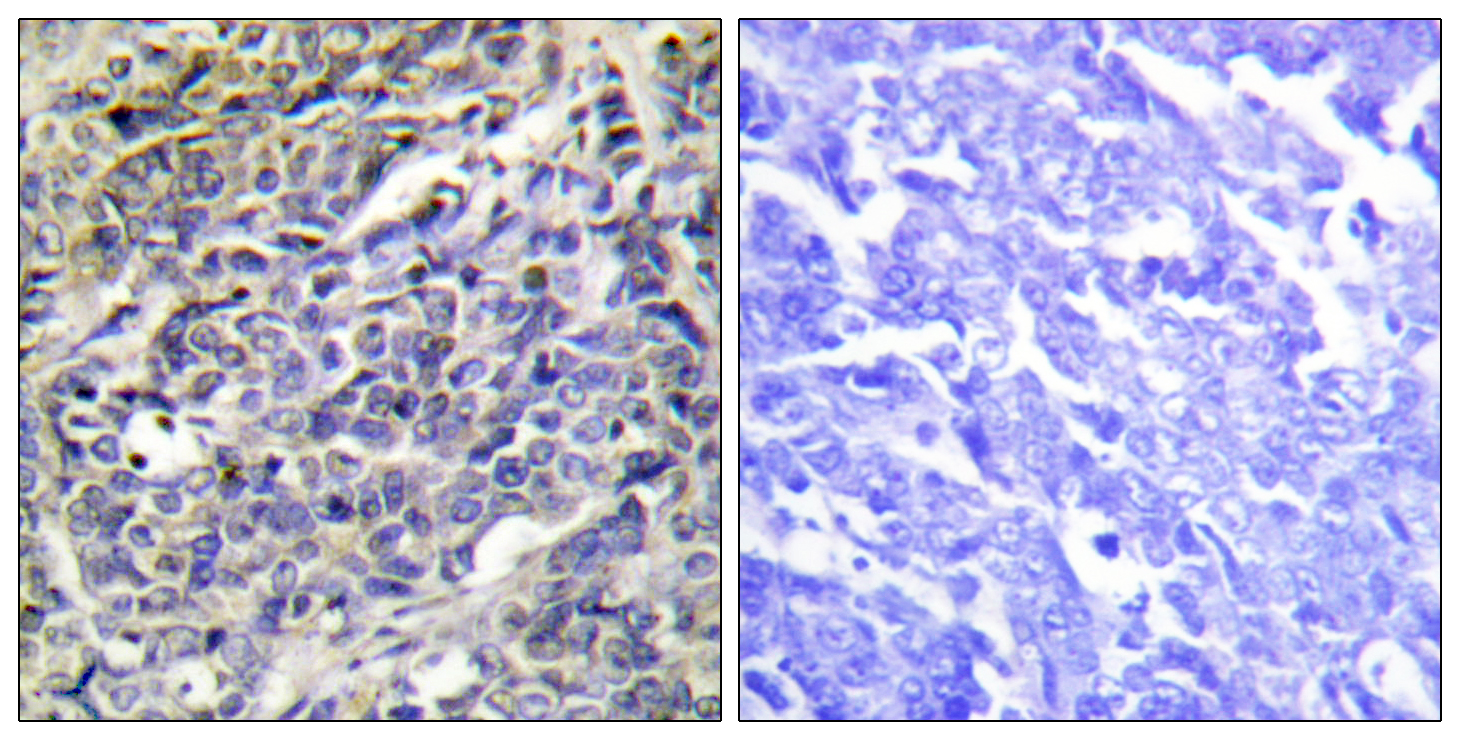
Immunohistochemistry analysis of paraffin-embedded human lung carcinoma tissue, using GRAK Antibody. The picture on the right is blocked with the synthesized peptide.
Western blot analysis of lysates from Jurkat cells, using GRAK Antibody. The lane on the right is blocked with the synthesized peptide.

If you have published an article using product 40985, please notify us so that we can cite your literature.

et al,Longitudinal plasma proteome profiling reveals the diversity of biomarkers for diagnosis and cetuximab therapy response of colorectal cancer. In Nat Commun on 2024 Feb 1 by Yan Li, Bing Wang,et al..PMID:38302471 , (2024),
PMID: 38302471

NOTE

Application

  • WBWestern Blotting
  • IHCImmunohistochemistry
  • IFImmunofluorescence
  • ICCImmunocytochemistry
  • FCFlow Cytometry
  • IPImmunoprecipitation
  • EELISA
  • DBDot Blotting
  • ChIPChromatin Immunoprecipitation
  • GICAGold Immunochromatography Assay
  • NCNegative Control

Species Reactivity

  • HuHuman
  • MsMouse
  • RtRat
  • DmDrosophila melanogaster
  • CCaenorhabditis elegans
  • MkMonkey
  • RbRabbit
  • BBovine
  • DDog
  • PPig
  • HmHamster
  • ChHmChinese Hamster
  • ChkChicken
  • ShpSheep
;