Welcome to Sabbiotech!     
Email:info@signalwayantibody.com
Location: Home > Polyclonal Antibodies > CASC5 Rabbit Polyclonal Antibody

CASC5 Rabbit Polyclonal Antibody#53505

Availability: Yes
Total Amount:$
Product Detail

Product NameCASC5 Rabbit Polyclonal Antibody

Host SpeciesRabbit

ClonalityPolyclonal

IsotypeIgG

PurificationAffinity purification

ApplicationsWB,IHC,IF

Species ReactivityHuman,Rat

Immunogen DescRecombinant fusion protein of human CASC5 (NP_733468.3).

ConjugateUnconjugated

Other NamesAF15Q14;CASC5;CT29;D40;MCPH4;PPP1R55;Spc7;hKNL-1;hSpc105;KNL1

Accession NoSwiss Prot:Q8NG31
GeneID:57082

Uniprot Q8NG31

Calculated MW195kDa/205kDa/262kDa/265kDa

Sdspage MW300kDa

FormulationBuffer: PBS with 0.02% sodium azide,50% glycerol,pH7.3.

StorageStore at -20˚C. Avoid freeze / thaw cycles.

Application Details
WB 1:500 - 1:2000
IHC 1:50 - 1:100
IF 1:50 - 1:100
Western blot analysis of extracts of various cell lines, using CASC5 at 1:3000 dilution.
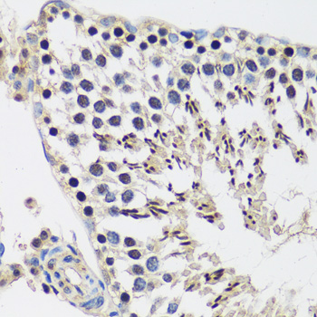
Immunohistochemistry of paraffin-embedded rat testis using CASC5 at dilution of 1:100 (40x lens).
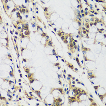
Immunohistochemistry of paraffin-embedded human colon using CASC5 at dilution of 1:100 (40x lens).
The protein encoded by this gene is a component of the multiprotein assembly that is required for creation of kinetochore-microtubule attachments and chromosome segregation. The encoded protein functions as a scaffold for proteins that influence the spindle assembly checkpoint during the eukaryotic cell cycle and it interacts with at least five different kinetochore proteins and two checkpoint kinases. In adults, this gene is predominantly expressed in normal testes, various cancer cell lines and primary tumors from other tissues and is ubiquitously expressed in fetal tissues. This gene was originally identified as a fusion partner with the mixed-lineage leukemia (MLL) gene in t(11;15)(q23;q14). Mutations in this gene cause autosomal recessive primary microcephaly-4 (MCPH4). Alternative splicing results in multiple transcript variants encoding different isoforms. Additional splice variants have been described but their biological validity has not been confirmed.

If you have published an article using product 53505, please notify us so that we can cite your literature.

et al,Synthesis of an RBM39 Degrader That Downregulates CEP192 and Induces Disorganized Spindle Structures. , (2025),
PMID: 40107850

NOTE

Application

  • WBWestern Blotting
  • IHCImmunohistochemistry
  • IFImmunofluorescence
  • ICCImmunocytochemistry
  • FCFlow Cytometry
  • IPImmunoprecipitation
  • EELISA
  • DBDot Blotting
  • ChIPChromatin Immunoprecipitation
  • GICAGold Immunochromatography Assay
  • NCNegative Control

Species Reactivity

  • HuHuman
  • MsMouse
  • RtRat
  • DmDrosophila melanogaster
  • CCaenorhabditis elegans
  • MkMonkey
  • RbRabbit
  • BBovine
  • DDog
  • PPig
  • HmHamster
  • ChHmChinese Hamster
  • ChkChicken
  • ShpSheep
;