Welcome to Sabbiotech!     
Email:info@signalwayantibody.com
Location: Home > Polyclonal Antibodies > TPI1 Rabbit Polyclonal Antibody

TPI1 Rabbit Polyclonal Antibody#54087

Availability: Yes
Total Amount:$
Product Detail

Product NameTPI1 Rabbit Polyclonal Antibody

Host SpeciesRabbit

ClonalityPolyclonal

IsotypeIgG

PurificationAffinity purification

ApplicationsWB,IHC,IF

Species ReactivityHuman,Mouse,Rat

Immunogen DescRecombinant fusion protein of human TPI1 (NP_000356.1).

ConjugateUnconjugated

Other NamesTPI1;HEL-S-49;TIM;TPI;TPID

Accession NoSwiss Prot:P60174
GeneID:7167

Uniprot P60174

Calculated MW17kDa/26kDa/30kDa

Sdspage MW30kDa

FormulationBuffer: PBS with 0.02% sodium azide,50% glycerol,pH7.3.

StorageStore at -20˚C. Avoid freeze / thaw cycles.

Application Details
WB 1:500 - 1:2000
IHC 1:100 - 1:200
IF 1:50 - 1:200
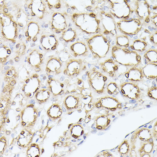
Immunohistochemistry of paraffin-embedded rat kidney using TPI1 at dilution of 1:100 (40x lens).
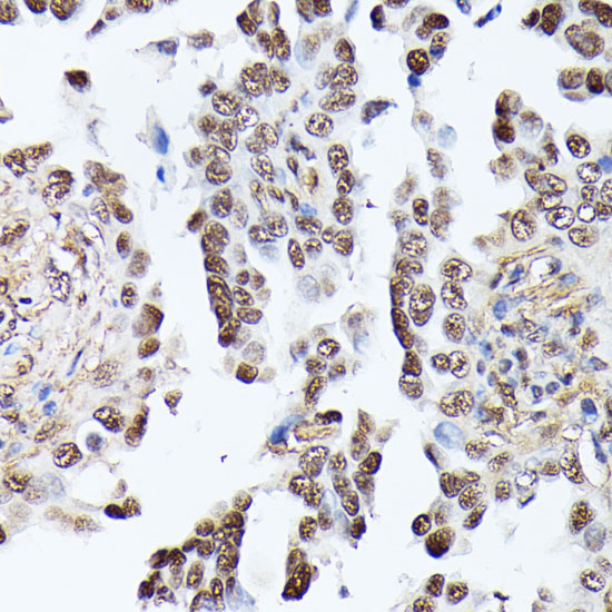
Immunohistochemistry of paraffin-embedded human lung cancer using TPI1 at dilution of 1:100 (40x lens).
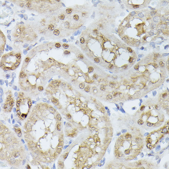
Immunohistochemistry of paraffin-embedded mouse kidney using TPI1 at dilution of 1:100 (40x lens).
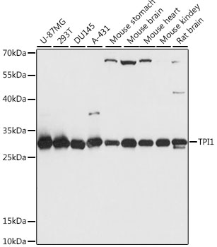
Western blot analysis of extracts of various cell lines, using TPI1 at 1:1000 dilution.
Immunofluorescence analysis of U-2 OS cells using TPI1 at dilution of 1:100. Blue: DAPI for nuclear staining.
This gene encodes an enzyme, consisting of two identical proteins, which catalyzes the isomerization of glyceraldehydes 3-phosphate (G3P) and dihydroxy-acetone phosphate (DHAP) in glycolysis and gluconeogenesis. Mutations in this gene are associated with triosephosphate isomerase deficiency. Pseudogenes have been identified on chromosomes 1, 4, 6 and 7. Alternative splicing results in multiple transcript variants.

If you have published an article using product 54087, please notify us so that we can cite your literature.

et al,LDHA-mediated glycolysis in stria vascularis endothelial cells regulates macrophages function through CX3CL1-CX3CR1 pathway in noise-induced oxidative stress. , (2025),
PMID: 39900910

NOTE

Application

  • WBWestern Blotting
  • IHCImmunohistochemistry
  • IFImmunofluorescence
  • ICCImmunocytochemistry
  • FCFlow Cytometry
  • IPImmunoprecipitation
  • EELISA
  • DBDot Blotting
  • ChIPChromatin Immunoprecipitation
  • GICAGold Immunochromatography Assay
  • NCNegative Control

Species Reactivity

  • HuHuman
  • MsMouse
  • RtRat
  • DmDrosophila melanogaster
  • CCaenorhabditis elegans
  • MkMonkey
  • RbRabbit
  • BBovine
  • DDog
  • PPig
  • HmHamster
  • ChHmChinese Hamster
  • ChkChicken
  • ShpSheep
;