Welcome to Sabbiotech!     
Email:info@signalwayantibody.com
Location: Home > Polyclonal Antibodies > CCL8 Rabbit Polyclonal Antibody

CCL8 Rabbit Polyclonal Antibody#55062

Availability: Yes
Total Amount:$
Product Detail

Product NameCCL8 Rabbit Polyclonal Antibody

Host SpeciesRabbit

ClonalityPolyclonal

IsotypeIgG

PurificationAffinity purification

ApplicationsWB,IHC,IF

Species ReactivityHuman,Mouse

Immunogen DescRecombinant fusion protein of human CCL8 (NP_005614.2).

ConjugateUnconjugated

Other NamesCCL8;HC14;MCP-2;MCP2;SCYA10;SCYA8

Accession NoSwiss Prot:P80075
GeneID:6355

Uniprot P80075

Calculated MW11kDa

FormulationBuffer: PBS with 0.02% sodium azide,50% glycerol,pH7.3.

StorageStore at -20˚C. Avoid freeze / thaw cycles.

Application Details
WB 1:500 - 1:2000
IHC 1:50 - 1:100
IF 1:50 - 1:100
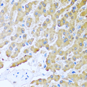
Immunohistochemistry of paraffin-embedded human liver using CCL8 at dilution of 1:100 (40x lens).
Immunohistochemistry of paraffin-embedded human prostate cancer using CCL8 at dilution of 1:100 (40x lens).
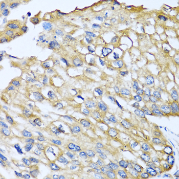
Immunohistochemistry of paraffin-embedded human stomach using CCL8 at dilution of 1:100 (40x lens).
This antimicrobial gene is one of several chemokine genes clustered on the q-arm of chromosome 17. Chemokines form a superfamily of secreted proteins involved in immunoregulatory and inflammatory processes. The superfamily is divided into four subfamilies based on the arrangement of N-terminal cysteine residues of the mature peptide. This chemokine is a member of the CC subfamily which is characterized by two adjacent cysteine residues. This cytokine displays chemotactic activity for monocytes, lymphocytes, basophils and eosinophils. By recruiting leukocytes to sites of inflammation this cytokine may contribute to tumor-associated leukocyte infiltration and to the antiviral state against HIV infection.

If you have published an article using product 55062, please notify us so that we can cite your literature.

et al,Tumor-initiating cells escape tumor immunity via CCL8 from tumor-associated macrophages in mice. , (2025),
PMID: 39774471

NOTE

Application

  • WBWestern Blotting
  • IHCImmunohistochemistry
  • IFImmunofluorescence
  • ICCImmunocytochemistry
  • FCFlow Cytometry
  • IPImmunoprecipitation
  • EELISA
  • DBDot Blotting
  • ChIPChromatin Immunoprecipitation
  • GICAGold Immunochromatography Assay
  • NCNegative Control

Species Reactivity

  • HuHuman
  • MsMouse
  • RtRat
  • DmDrosophila melanogaster
  • CCaenorhabditis elegans
  • MkMonkey
  • RbRabbit
  • BBovine
  • DDog
  • PPig
  • HmHamster
  • ChHmChinese Hamster
  • ChkChicken
  • ShpSheep
;