Welcome to Sabbiotech!     
Email:info@signalwayantibody.com
Location: Home > KD/KO Validation > ACAA2 Rabbit mAb

ACAA2 Rabbit mAb#56943

Availability: Yes
Total Amount:$
Product Detail

Product NameACAA2 Rabbit mAb

Host SpeciesRabbit

ClonalityMonoclonal

IsotypeRabbit IgG

PurificationAffinity-chromatography

ApplicationsWB IHC ICC/IF

Species ReactivityHuman Mouse Rat

SpecificityACAA2 Antibody detects endogenous levels of total ACAA2

Immunogen DescA synthesized peptide derived from human ACAA2

ConjugateUnconjugated

Other NamesAcaa2; DSAEC;

Accession NoUniprot:P42765

Uniprot P42765

Calculated MWPredicted band size: 42 kDa

Sdspage MWObserved band size: 45 kDa

FormulationRabbit IgG in phosphate buffered saline , pH 7.4, 150mM NaCl, 0.02% sodium azide and 50% glycerol.

StorageStore at +4˚C short term. Store at -20˚C long term. Avoid freeze / thaw cycle.

Application Details
WB: 1:500-1:2000
IHC: 1:50-1:200
ICC/IF: 1:50-1:200
All lanes: ACAA2 Rabbit mAb at 1/1k dilution

Lane 1 : HepG2 whole cell lysates
Lane 2 : MCF-7 whole cell lysates
Lysates/proteins at 20 µg per lane.

Secondary
All lanes : Goat Anti-Rabbit IgG H&L (HRP) at 1/20000 dilution

Predicted band size: 42 kDa
Observed band size: 45 kDa

Exposure time: 3 seconds
All lanes: ACAA2 Rabbit mAb at 1/1k dilution

Lane 1 : Mouse heart lysates
Lane 2 : Mouse liver lysates
Lane 3 : Rat heart lysates
Lane 4 : Rat liver lysates
Lysates/proteins at 20 µg per lane.

Secondary
All lanes : Goat Anti-Rabbit IgG H&L (HRP) at 1/20000 dilution

Predicted band size: 42 kDa
Observed band size: 45 kDa

Exposure time: 6 seconds
All lanes :ACAA2 Rabbit mAb at 1/1k dilution

Lane 1 : Wild-type A549 cell lysate
Lane 2 : ACAA2 knockdown A549 cell lysate

Lysates/proteins at 20 µg per lane.
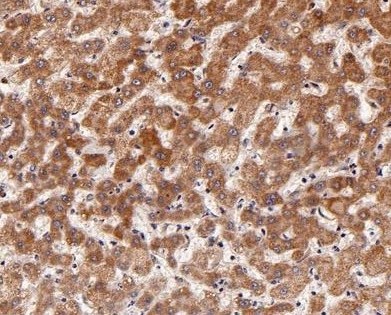
Formalin-fixed, paraffin-embedded human liver tissue stained for ACAA2 using 56943 at 1/100 dilution in immunohistochemical analysis.
Immunocytochemistry/ Immunofluorescence ACAA2 antibody (56943)

ICC/IF staining of ACAA2 in Hela cells. Cells were fixed with 4% Paraformaldehyde permeabilized with 0.1% Triton X-100.
Samples were incubated with 56943 at a working dilution of 1/100. The secondary antibody was Alexa Fluor® 647 goat anti rabbit, used at a dilution of 1/500.
Nuclei were counterstained with DAPI.

If you have published an article using product 56943, please notify us so that we can cite your literature.

NOTE

Application

  • WBWestern Blotting
  • IHCImmunohistochemistry
  • IFImmunofluorescence
  • ICCImmunocytochemistry
  • FCFlow Cytometry
  • IPImmunoprecipitation
  • EELISA
  • DBDot Blotting
  • ChIPChromatin Immunoprecipitation
  • GICAGold Immunochromatography Assay
  • NCNegative Control

Species Reactivity

  • HuHuman
  • MsMouse
  • RtRat
  • DmDrosophila melanogaster
  • CCaenorhabditis elegans
  • MkMonkey
  • RbRabbit
  • BBovine
  • DDog
  • PPig
  • HmHamster
  • ChHmChinese Hamster
  • ChkChicken
  • ShpSheep
;