Location:
Home
>
Phospho Antibodies > eIF4EBP1/2/3 (Phospho-Thr32/T46) Antibody
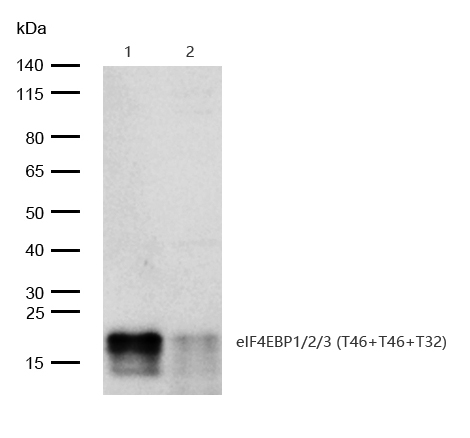
eIF4EBP1/2/3 (Phospho-Thr32/T46) Antibody#60288
NOTE
Application
- WBWestern Blotting
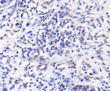
- IHCImmunohistochemistry
- IFImmunofluorescence
- ICCImmunocytochemistry
- FCFlow Cytometry
- IPImmunoprecipitation
- EELISA
- DBDot Blotting
- ChIPChromatin Immunoprecipitation
- GICAGold Immunochromatography Assay
- NCNegative Control
Species Reactivity
- HuHuman
- MsMouse
- RtRat
- DmDrosophila melanogaster
- CCaenorhabditis elegans
- MkMonkey
- RbRabbit
- BBovine
- DDog
- PPig
- HmHamster
- ChHmChinese Hamster
- ChkChicken
- ShpSheep





Yes



